Ronnie Lovick, Samuel Couch, Joshua Wright, and Roy Lavenwearth

New Bern School of Martial Arts

The New Bern School of Martial Arts (Karate School) located on Hancock Street in New Bern is the Oldest Organized Karate School in the city. The school was founded in 1972 – 1973. Congratulations to Karate Students Joshua Wright (White Belt 1st) and […]
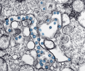
Novel Coronavirus (COVID-19)

You can help limit the spread of the Novel Coronavirus

The novel Coronavirus has been all over the news. The epicenter of the current outbreak was reportedly identified in December 2019 in Wuhan, China. We asked Cathy Fischer, Manager of Infection Prevention at CarolinaEast Medical Center, for her advice and she said, […]
Coastal Women's Forum

Join the Coastal Women’s Forum for Lunch with Speaker Judy Pierce

Coastal Women’s Forum will hold its next daytime meeting from noon to 1:00 p.m. on Wednesday, March 18 at the New Bern Golf and Country Club. Registration and networking will begin at 11:30 a.m. The meeting cost, which includes a buffet lunch, […]
My Sister's House

Volunteers Invited to “Make A Difference Day”

New Bern, NC – Tried By Fire, Inc. invites women, and supportive men, to participate in a special “Make A Difference Day” on Saturday, March 28 from 9:00 am to 12:00 pm at 524 Roundtree Street in New Bern. The morning will […]
Melda McCoy and Dr. Eleanor Patrick

Spring Cycle PIE Grant for “Count on Me!”

Melda McCoy with Oaks Road Academy won a Spring Cycle PIE Grant for “Count on Me!” for $1,499.57. Pictured is Dr. Eleanor Patrick, principal at Oaks Road Academy presenting her with the check. This grant will allow students to gather each morning […]
David McNeil, Tony Norwood, Laura Marx, and Emily Aber

MOEN Receives United Way Spirit of North Carolina Award

New Bern, NC – United Way of Coastal Carolina announced today that MOEN’s New Bern Plant has been awarded the 2019 Spirit of North Carolina in the Manufacturing category. “The Spirit of North Carolina Award recognizes the culture of giving back to […]
NC State Extension Craven County Master Gardener

Offsite Tour of Latham-Whitehurst Park “Spring into the Woods”

Offsite Tour of Latham-Whitehurst Park “Spring into the Woods” presented by Dr. Tom Glasgow on Saturday, March 21, 2020 from 10:30 a.m. to 11:30 a.m. Tour sponsored by the Craven County Cooperative Extension and Facilitated by Craven County Extension Master Gardener Volunteers. Horticultural Workshop […]